
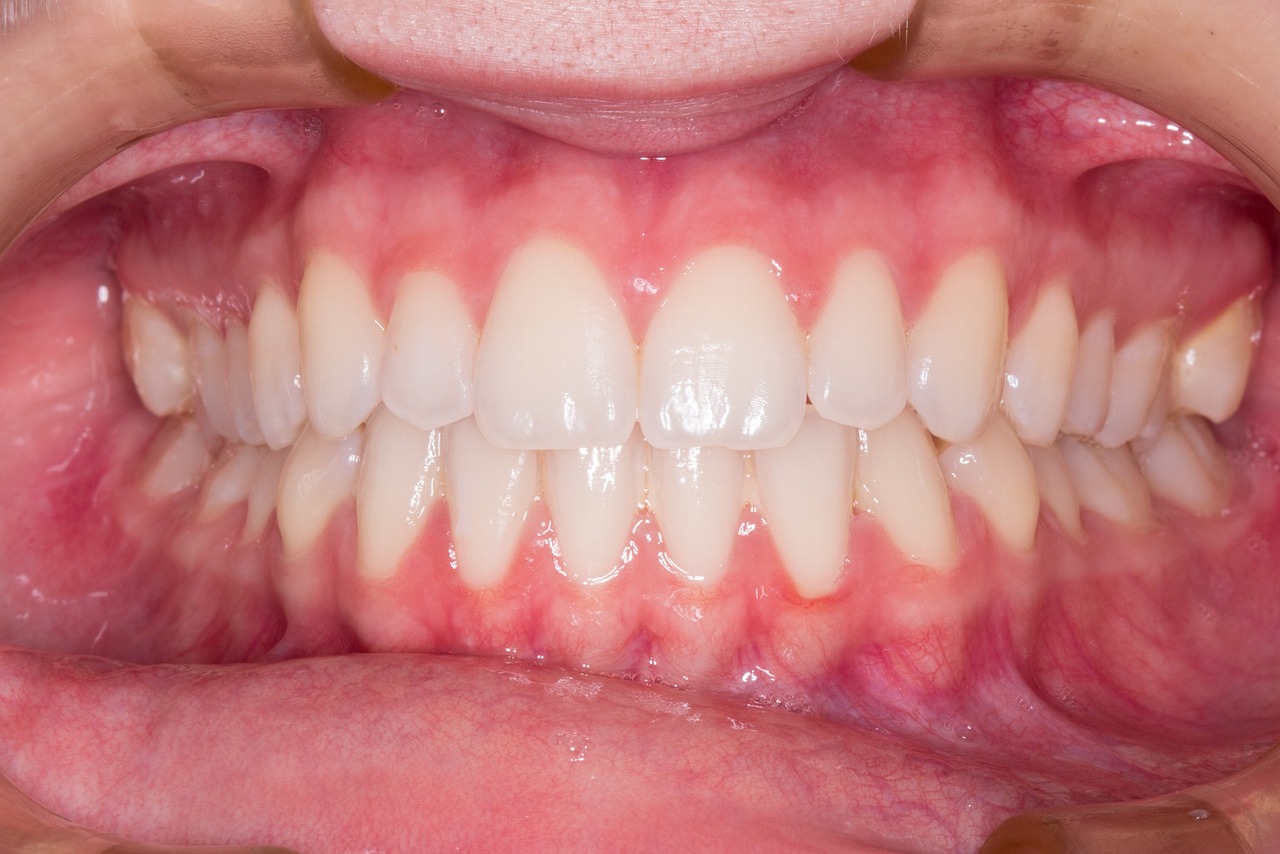
LANAP, or Laser-Assisted New Attachment Procedure, is a revolutionary treatment for gum disease that uses advanced laser technology to treat periodontitis without the need for traditional surgical methods. Unlike conventional periodontal surgery, which involves cutting and suturing gum tissue, LANAP uses a specialised laser to target and remove diseased tissue while preserving healthy gum tissue. This minimally invasive approach promotes the regeneration of bone and tissue, helping to restore the natural structure of the gums and teeth.

LANAP offers numerous benefits over traditional gum disease treatments, making it an increasingly popular choice for patients with periodontitis. One of the main advantages is that it is minimally invasive, which means there is less pain, bleeding, and discomfort during and after the procedure. The use of laser technology allows for precise targeting of infected tissue, reducing the risk of damaging healthy tissue. Additionally, LANAP promotes faster healing and tissue regeneration, which can lead to improved long-term outcomes for gum health.
Another significant benefit is that LANAP can effectively reduce pocket depths, which are spaces between the teeth and gums that harbour bacteria. By eliminating these pockets, LANAP helps prevent the progression of gum disease and reduces the risk of tooth loss. The procedure is also suitable for patients who may not be candidates for traditional surgery due to health concerns or those seeking a less invasive option.
LANAP is an ideal option for many patients suffering from moderate to severe gum disease. It is particularly beneficial for those who are looking for a less invasive treatment alternative to traditional surgery or those who have not responded well to other periodontal treatments. Patients with conditions such as chronic periodontitis, bleeding gums, gum recession, or swollen gums may find LANAP to be an effective solution.
However, a thorough evaluation by a dentist is necessary to determine if LANAP is the right treatment. During the consultation, your dental professional will assess the severity of your gum disease, overall oral health, and medical history to decide whether LANAP is suitable for your specific condition.

The LANAP procedure involves the use of a specialised laser, known as the PerioLase MVP-7, which emits a specific wavelength of light that targets the bacteria and diseased tissue in the periodontal pockets. Here's a step-by-step overview of how LANAP works:
At My Dentist, we are committed to providing our patients with the most advanced and effective dental treatments available. Our team of experienced dentists and periodontists is specially trained in the LANAP protocol, ensuring that you receive the highest quality care. We understand that gum disease can significantly impact your oral health and overall well-being, which is why we offer LANAP as a state-of-the-art solution to help you regain healthy gums with minimal discomfort.
Choosing My Dentist for your LANAP treatment means you’ll benefit from our personalised approach to dental care. We take the time to understand your unique needs and develop a tailored treatment plan that best suits your condition. Our modern facilities and commitment to patient comfort make every visit a positive experience, and we are dedicated to helping you achieve a healthier smile.


Your LANAP treatment at My Dentist will begin with a thorough cleaning and preparation of the gum area. Then, the PerioLase MVP-7 laser will be used to carefully target and remove the infected gum tissue while leaving healthy tissue intact. The entire procedure is performed under local anaesthesia to ensure your comfort. Depending on the severity of the gum disease, most LANAP treatments can be completed in one or two sessions.
Following the LANAP procedure, you may experience mild discomfort or swelling, which is typical after any periodontal treatment. However, because LANAP is minimally invasive, the recovery time is generally much shorter than that of traditional gum surgery. To ensure proper healing, you should follow the post-treatment care instructions provided by your dentist. These may include eating soft foods, maintaining good oral hygiene, and avoiding strenuous activities for a few days.





